犬の前十字靭帯断裂について
- 10kg以上の犬で後肢のどちらかを引きずる
- 急に後肢が使用できなくなった
- 後肢が良くなったり悪くなったりどうも歩行がおかしい
その臨床症状は?
前十字靭帯断裂を伴う臨床症状は3つに分けられます。
- 急性の損傷
……突然に起こる跛行(肢を引きずる) - 慢性の損傷及び
……時々の跛行から徐々に悪化する傾向、筋肉の萎縮 - 慢性の部分的断裂
……安定型の部分断裂、跛行の程度はいろいろ
急性の断裂の場合は、突然に起こる跛行(肢を引きずる)又は時々の跛行です。特に体重が10kg以下の場合は治療しなくても起こってから3-6週間ぐらいで跛行が自然に治る場合が多いようです。しかし、犬の体重が10kg以上あると再発性の跛行を呈し自然にはなかなか治りません。問題となるのは部分断裂の場合です。うまく診断しないと前十字靭帯断裂の診断がなかなかできません。特に股関節に股関節形成不全(その程度によるが)等が認められると跛行の原因は股関節と間違える場合があります。この部分断裂は大型犬では全断裂の約50%を占めると言われています。以前は小型犬には部分断裂は少ないと思われていましたが、最近の関節鏡を使用した報告によると小型犬にも少なからず存在するとのことです。小型犬は体重が軽いので症状は現れにくく、部分断裂より完全断裂が多いものです。
診断法は?特に部分断裂をどう診断するか?
最も有効な検査は?
「お座りテスト Sit Test」
「膝の過伸展」
まずは歩様に関してですが、これは部分断裂の時には全く正常である場合や、非常に軽度な間欠的な跛行、又は常に認められる持続性の重度な跛行の場合などいろいろです。時にはまったく肢がつかない場合もあります。また肢を挙上したままという場合もあります。これらはその断裂の程度によって、ひどくなればひどくなるほど跛行も悪化していきます。病気の問題が膝にあるのかどうかという判断をする時に、非常に有効な検査が「お座りテスト Sit Test」です。膝が正常な場合では犬は普通お座りができます。体重は足根にかかります。そして、足先をきっちりとしまいこんだようなかたちで座ります。ですが、足首や膝が痛い時にはこんなふうには座れません。肢先が少し外に向いた状態で座るようになります。その理由は関節内に炎症があるような時には、膝を屈曲させると痛いからです。そして、このような形でお座りをする犬のほとんどは、前十字靭帯の完全断裂、または部分断裂です。しかし、それだけに限るというわけではありません。例えば同じ膝が痛い離断性骨軟骨炎(OCD)の犬でもこのようなお座りをします。ですが、足根の評価は簡単です。簡単に曲げ伸ばしをして、そこに問題があるのか、痛みがあるのかを評価できます。ゆえに前十字靭帯断裂を疑う犬が初めて来院した時には、待合室内でどのように座るかをまず見ることが重要です。そして、このようなお座りをしたような時にはまず頭の中で、「最初に前十字靭帯断裂を除外しなければ」と思うことが重要と考えます。

さてもう一つ有効な検査があります。これは膝の痛みを評価する検査です。前十字靭帯断裂にもし変性があるとか、あるいは脆弱になっているような時には、膝を過伸展にすると痛みを呈します。まずは大腿骨を不動化します。そのような状態で脛骨を前方に押し出すかたちで、膝を過伸展するのです。そして、反対側で同じような検査をしてどれだけ痛みに対しての反応が違うか比べることが重要です。以上のように前十字靭帯断裂の診断のためには「お座りテスト」と「膝の過伸展」の2つがとても重要です。しかしこの2つが陽性と出ても、それで部分断裂なのか完全断裂なのかの鑑別はできません。

▲「膝の過伸展」この検査で痛がるか?頭を後ろに向けて反応を示す。
身体検査所見の所見
急性断裂の動物は膝関節の慢性の断裂の場合、大腿の筋肉の萎縮が認められることがあり(正常な肢と比較して)、捻髪音は膝を屈伸した時に認められることがあります。関節を屈曲した位置から伸展した時に、クリック音やプチプチという音が聞こえたり感じられたりすることもあり、これは特に半月板損傷時によく認められます。しかしこれらの音がないからと言って、半月板損の診断を除外することはできません。時々、内側の関節面の辺りに腫れを触診できることがありますが、これは滑車稜の周辺にできた骨練形成の可能性を考えます。
前方引き出し兆候について
この検査は、前十字靭帯断裂の診断の決めてとなりますが、部分断裂には有効ではありません。まずは犬を横臥位にします。この検査がうまくいかない場合の原因としては、適切な筋肉の弛緩が得られないことです。したがって、破行の原因が前十字靭帯損傷を強く疑われる場合には、筋肉の緊張の影響をなくすために超短時間の全身麻酔又は比較的深い鎮静と膝の局所麻酔が必要となります。
引き出し徴候の検査をする時には、右手の人差し指を膝蓋骨に、親指は種子骨に当てます。そして反対側の手ですが、親指を腓骨頭、そして人差し指を脛骨粗面の上に置きます。指で筋肉を強く押さえないことが重要です。加えて重要なのは、大腿骨を動かさないことです。左手の脛骨だけを前方に押し出します。これがコツです。上下を動かしては駄目です。
また回転(内旋)も認められるかをも調べます。検査の感覚として重要なのは、正常な前十字靭帯でも前方の引き出し徴候は2-3mmくらいは動くということです。この理解が重要なのは、外側固定(人工靭帯による置換術)を行なう時に、完全に閉めて関節が動かないようにしては駄目ということです。車のハンドルのように遊びが必要(多少のゆるみ)ということです。膝に動きがなければ、膝はきちんと機能する事ができません。膝が伸展して屈曲する時、回転中心が一箇所にだけあるわけではないからです。この理由は上腕骨窩が純粋に真円ではないからです。少しだけ楕円形になっているからです。ゆえに犬が歩く場合は、その屈曲、伸展の中心点というのは1-2mmぐらい変化します。ゆえに正常な動きでも、歩行をする時には少しだけ脛骨が前方に滑り出るのです。また膝を屈曲すると、足首は少し外側に出ます。これは曲げれば曲げる程外側に出ます。その理由は屈曲時には脛骨が少しだけ内旋します、ゆえにこれは正常な関節の可動域ということです。これを理解しておくことは重要で、関節外法で手術する場合に、人口靭帯を締め過ぎないことです。膝の遊びがなくなると、膝に全く余裕がない状態となり、膝は正常に機能する事ができなくなります。遊びがないと体の反応によって、時間と共に伸びるか切れるかとなります。

前方の引き出し徴候の検査に対してのゆるみの長さは?
正常な前十字靭帯でも前方の引き出し徴候は2-3mm
引き出し徴候で、2-3mm以上動いたら(弛緩している)
通常の引き出し徴候の弛みは、6-7mm
完全断裂の際の緩みは、10-12mm
前方の引き出し徴候の検査の同じ意味合いを持つ検査として、脛骨の圧迫試験、(Tibial Compression Test)があります。これは同じ事を検査しているものですが、犬によってはこの検査の方がやり易い場合があります。これは体重を負重しているのと同じような角度で足を持ち、片方の手を大腿骨の遠位におき(大腿骨、膝蓋靭帯、脛骨粗面の前方)そしてもう片手の手で足根を曲げます。そうすると膝を横切っている筋肉が緊張する事になります。ゆえに脛骨のスロープによって前方に押し出される事になります。)
| 各々の手術後に各々の検査は、術前と比べてどうなるか? | |||
|---|---|---|---|
| 手術名 | お座り検査 | 引き出し検査 | 脛骨圧迫検査 |
| CBLO | - | + | - |
| TTA | - | + | - |
| TPLO | - | + | - |
| 嚢外(外側)固定 | - | - | - |
前十字靭帯断裂の手術
CBLO(Anatomic CORA Based Leveling Osteotomy)
解剖学的な回転角度を中心とした水平化骨きり術
(CORA Center of Rotation回転角度を中心とした)
この新しい手術法は従来から行なわれているTPLO(脛骨高平部水平骨切り術)とTTA(脛骨粗面前方転移術)の利点を組み合わせた方法として開発されました。この手術も含めてこれらの手術のすぐれている点は、特徴は関節の可動域を妨げないことです。その他の多くの手術は、関節を固定固めて制限をします。これらの手術は、それゆえより自然な跛行ができるようにと考案された方法です。
前十字靭帯断裂の基本的な骨の動きのメカニズムは、後肢の下の肢である脛骨が前十字靭帯断裂によって前方に動くことによって起こることです。これらの手術の主なる目的は前方に動かなくするためです。
より活動的でありたい犬のためには、これらの手術が最も適しています。このCBLOの特徴は関節内を切らなくて良い点や、より小型の犬でも応用が可能である点です。この手術はテキサスA&M大学の教授であったDr. Don Hulseが開発した手術です。このCBLOの手術の最もの適応は、脛骨高平部角(Tibial plateau ange)の角度が大きい、すなわちスロープの角度が大きい場合には、より適してします。
解剖学的な回転角度を中心とした水平化骨きり術(CBLO)は回転角度を中心とした(CORA)、中心軸の補正(ACA)をする独自な手術方法の関節外骨切り術です。これをすることによって、近位と遠位の解剖軸の整列(角度の補正)によって、靭帯の断裂による二次的な水平移動が起こらなくなります。
このCBLOは、脛骨高平部角(Tibial plateau ange)の角度が大きい、すなわちスロープの角度が大きい場合にTPLOのように、脛骨のすらした骨が(二次的に平行移動が起こり)後方に移動する(バルコニー効果)が起こりません。それゆえにTPLOの二次的な所見である、関節の軟骨損傷がより起こりにくくなります。
骨切り部の安定化は骨プレート、ロッキングスクリューとヘッドレスコンプレッションスクリューの使用によります。CBLOの術式の利点としては手術のプランニングと技術の容易さ、良好な機能が長期的に働くこと、術後の関節軟骨の関節鏡検査によって、遅れで発症する関節軟骨損傷がより少ないことです。
また骨切り術の迅速な治癒(6-7週)が期待できること(つまり近位部と遠位部にある間が密接に接触するため)、脛骨骨端軟骨の近位部を壊わさず、若年動物でも骨切り術を行えること、過剰な傾斜(45度を超えなければ)単一の骨切り術にて対応でき、膝蓋骨脱臼を伴う整復も可能となります。
前十字靭帯断裂手術の利点は?
- TPAの角度が激しい場合はTPLOやTTAより骨の安定が適している。
- 関節外の骨切り術であることで、関節内よりやり易い術式である。
- 骨の広い範囲の確保ができるので、強固な固定ができること。
- 安定した骨切り術ができるため、機能や治癒の回復が早い。
- 骨の広い範囲が確保できるので小型犬や猫でも応用が可能。
- バルコニー効果(骨部の二次的な移動)がより起こりにくい。
- 手術後の関節軟骨の病変をほとんど認めない。関節の磨耗が少ない。
- スロープの角度がある動物でも、1回の骨切り術で対応できる。
- 成長期の犬に対しても、成長板からより離れているのでより安全にできる。
- 同時に膝蓋骨脱臼の修復も可能である。

▲術前に手術の角度を決める計測
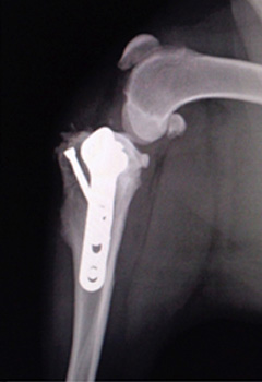
▲手術後のX線写真
▲特殊なTPLO用の円鋸(半月形)の刃(Crescentic Saw Blades)
いろいろな大きさがある。
▲シンセス(Synthes)のTPLO用のプレートを装着している所
▲TPLOのプレートに、ロッキングスクリューを装着している所
▲TPLOのプレートに、すべてのロッキングスクリューが装着された所
この前十字靭帯断裂は主には10kg以上の犬に起こりますが、まれに小型犬や猫にも認められます。
手術後、後肢には柔らかい包帯のような伸縮性のテープを使用します。そして毎日約10分間は、横に寝かせ、体重の負荷がない状態で膝の屈伸運動を行います。また約8週間ぐらいまでは、引き綱を使用し歩行を制限します。 このような、術後のリハビリティションは重要となります。

▲各種のジグとTPLO用の円鋸のいろいろなサイズ
▲シンセス(Synthes)のTPLO用のプレートのセット、左右の違いあり
<参考文献>
・Brian S. Beale, DVM Advances in the canine cranial cruciate ligament Wisconsin-Madison School of Veterinary Medicine Department of Surgical Sciences 2015 Linden Drive Madison, WI 53706
・M Raske, D Hulse, B Beale, WB Saunders Veterinary 2013 Wiley Online Library Matthew Raske DVM Stabilization of the CORA Based Leveling Osteotomy for Treatment of Cranial Cruciate Ligament Injury Using a Bone Plate Augmented With a Headless Compression Screw Issue Veterinary Surgery Volume 42, Issue 6, pages 759–764, August 2013
・cranial cruciate ligament injury repair in the dog. Vet Surg 2005;34:93–98.
文責:武蔵野動物・外科センター 菊池里奈 小宮山典寛


